Case #20168
* Actual Patient Results May Vary
Upper and Lower Lid Blepharoplasty; Laserbrasion to Lower
Patient is 71 Years Old
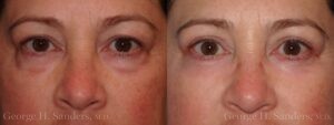
Case #34891
* Actual Patient Results May Vary
Upper and Lower Eyelid Lift; Laserbrasion to Lower Eyelids
Patient is 52 Years Old.
Case #17159
* Actual Patient Results May Vary
Upper and Lower Eyelid Lift; Brow Lift; Cheeklift; Fat Injection to Cheeks; Full Face Laserbrasion.
Patient is 59 years old.
Case #33073
* Actual Patient Results May Vary
Facelift; Upper and Lower Blepharoplasty; Laserbrasion to Lower Lids; Pre-Hairline Forehead Lift
Patient is 62 years old
Case #31705
* Actual Patient Results May Vary
Upper and Lower Blepharoplasty; Laserbrasion to Lower Lids & Perioral Area.
Patient is 62 Years Old.
Case #15525
* Actual Patient Results May Vary
Upper and Lower Eyelid Lift; Laserbrasion to Lower Eyelid.
Patient is 55 years old.
Case #25037
* Actual Patient Results May Vary
Upper and Lower Eyelid Lift; Laserbrasion to Lower Lids.
Patient is 65 years old.






